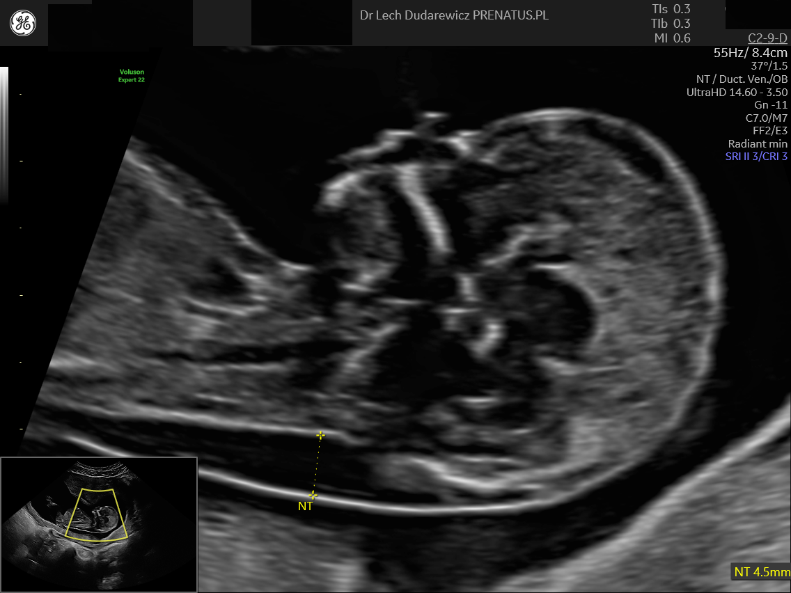
Zwiększona przezierność karkowa – czy to wyrok? Spojrzenie eksperta
Moment, w którym przyszła mama słyszy w gabinecie lekarskim:„u płodu widoczna jest zwiększona przezierność karkowa”,często jest jednym z najbardziej stresujących w całej ciąży. W jednej chwili radość ustępuje miejsca lękowi, a w głowie pojawia się tysiąc pytań:Czy moje dziecko jest chore?Czy zwiększona przezierność karkowa (NT) oznacza wadę genetyczną? Dziś chcemy odczarować ten parametr i wyjaśnić, […]
